Metamorfozy

Efekty metamorfoz naszych pacjentów spawiają, że z pasją i zaangażowaniem podchodzimy do każdego przypadku.

Protetyczne poszerzenie uśmiechu -CEREC- 12 koron pełnoceramicznych 16-26.

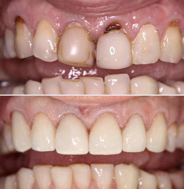
3 korony pełnoceramiczne 11 21 22 + wybielanie.

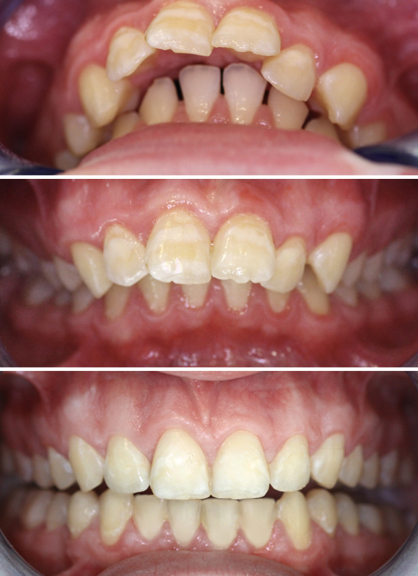
Leczenie ortodontyczne.

Leczenie ortodontyczne.

Korony pełnoceramiczne na 4 siekacze górne.

Leczenie ortodontyczne i korony pełnoceramiczne CEREC na 4 siekacze górne.

Leczenie ortodontyczne i korony pełnoceramiczne CEREC na 4 siekacze górne.

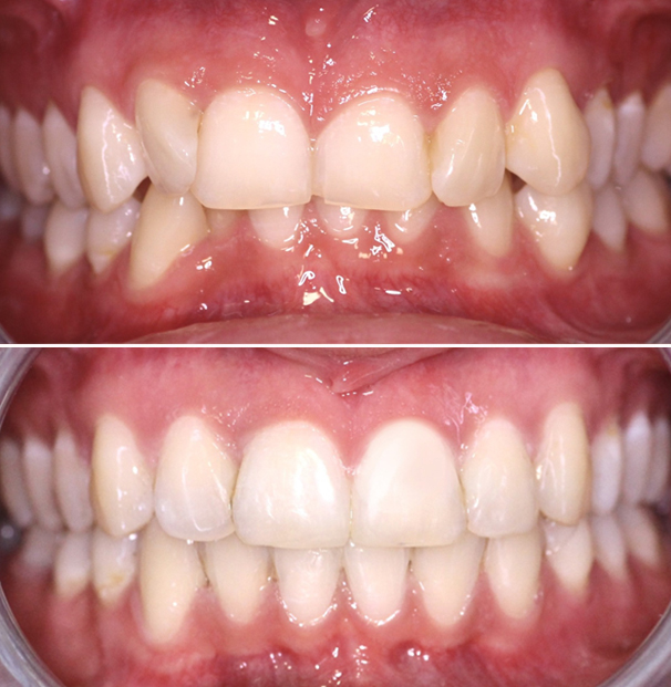
Leczenie ortodontyczne.

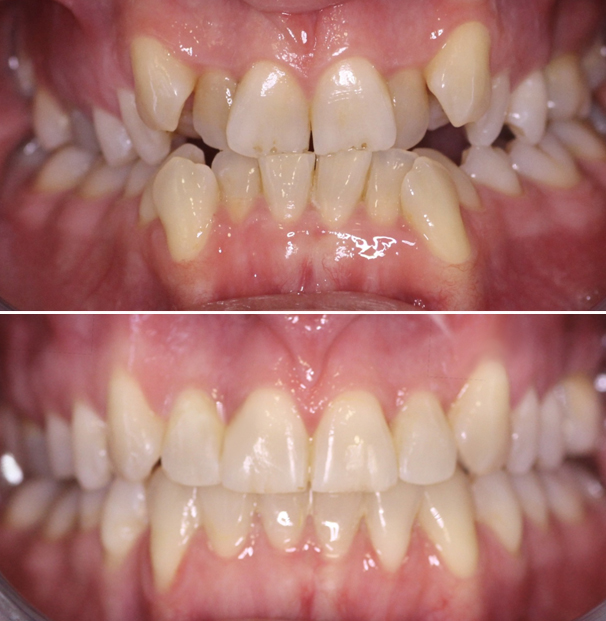
Leczenie ortodontyczne – zgryz odwrotny.

Leczenie ortodontyczne.

6 koron pełnoceramicznych  CEREC na 6 górnych zębów i wybielanie.

Leczenie ortodontyczne.

Leczenie ortodontyczne.

Rozszczep podniebienia – dwie korony pełnoceramiczne 11-12, most na cyrkonie 21v23.

Nawet nieduże zmiany w szerokości uśmiechu robią ogromną różnicę – leczenie ortodontyczne, poszerzenie łuku górnego, zmniejszenie czarnych korytarzy.

Korony pełnoceramiczne na 6 zębach przednich.

Leczenie ortodontyczne.

Leczenie ortodontyczne.

6 koron pełnoceramicznych CEREC 13-23 sześć górnych zębów.

Leczenie ortodontyczne.

Zamknięcie szpar, zmiana koloru i wzmocnienie zębów korony pełnoceramiczne CEREC 5,6,7.

3 korony pełnoceramiczne CEREC 12 11 21 + wybielanie.

Leczenie ortodontyczne.

12 koron na górnych zębach.

12 koron na górnych zębach.

Leczenie ortodontyczne.

top